Tai nạn hy hữu khi té xuống ao gần nhà khiến bé gái mang dị vật là cành cây dài 16cm trong ổ bụng suốt hơn 4 tháng.
Theo VnExpress, ngày 30/9, đại diện Bệnh viện Nhi đồng 2 (TP.HCM) cho biết, các bác sĩ nơi này vừa phẫu thuật thành công một ca bệnh hy hữu, lấy ra dị vật nguy hiểm nằm trong ổ bụng bé gái thời gian dài.
BS.CK1 Nguyễn Hiền, khoa Ngoại tổng hợp, cho biết bệnh nhi là bé H.M.L. (3 tuổi, ngụ tỉnh Đắk Lắk). Khai thác bệnh sử, khoảng 4 tháng trước, cháu bé bị té ngã xuống ao gần nhà và được người thân đưa vào cơ sở y tế địa phương điều trị trong 2 tháng.
Một tháng sau ngày xuất viện, bé L. có tình trạng sốt cao, ho nhiều. Trở lại bệnh viện địa phương, ban đầu bé được chẩn đoán và điều trị viêm phổi. Tuy nhiên khi siêu âm kiểm tra, các bác sĩ phát hiện một khối lạ trong ổ bụng, nghi dị vật nên lập tức chuyển bé gái đến Bệnh viện Nhi đồng 2.

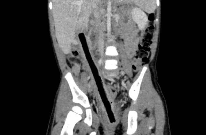
Tại đây, kết quả CT scan cho thấy, bệnh nhân có dị vật kích thước 1x16cm nằm từ trực tràng đến gan. Ê-kíp nội soi xác định, dị vật đâm xuyên trực tràng, ruột non và tá tràng ruột viêm dính nhiều, gây khó khăn cho phẫu thuật.
Các bác sĩ tiến hành mổ mở bóc tách dọc theo dị vật, tách dính toàn bộ ruột, tránh làm tổn thương các mạch máu thần kinh, niệu quản và các bộ phận khác.

Sau 4 giờ phẫu thuật, các bác sĩ đã lấy ra nguyên vẹn cành cây dài 16cm trong ổ bụng bé và xử lý cầm máu, khâu các vết thương, cũng như làm hậu môn tạm. Hiện tại, sức khỏe đang dần hồi phục, dự kiến sẽ sớm được xuất viện, hẹn tái khám và lên kế hoạch đóng hậu môn tạm.
Trao đổi với Dân trí, thành viên ê-kíp điều trị chia sẻ: “May mắn dị vật không đâm vào các mạch máu lớn, nên không ảnh hưởng đến tính mạng. Bên cạnh đó, do bệnh nhân bị viêm phổi hít nên chúng tôi đã cho dùng kháng sinh phổ rộng để điều trị nhiễm trùng, vô tình ức chế việc nhiễm trùng do dị vật gây ra”.

Theo bác sĩ Nguyễn Hiền, Bệnh viện Nhi đồng 2 từng ghi nhận các trường hợp dị vật đâm xuyên vùng hậu môn khi trẻ vui chơi, tắm ở ao hồ, sông suối. Tuy nhiên, trường hợp của bé L. rất hy hữu, vì cành cây dài và nằm trong ổ bụng bé thời gian khá lâu.
Nếu dị vật để lâu trong ổ bụng có thể xuyên vào các cơ quan, gây nhiễm trùng nặng, suy đa cơ quan và nguy hiểm tính mạng.
Phụ huynh cần giám sát khi trẻ vui chơi, nhất là trong mùa mưa bão, cây cối dễ gãy đổ gây những tai nạn đáng tiếc. Không cho trẻ đến gần hoặc vui chơi tại khu vực ao hồ sông suối khi không có người lớn giám sát. Không đi qua cầu hoặc đường ngập nước. Khi xảy ra các tai nạn sinh hoạt, cần đưa trẻ đến cơ sở y tế gần nhất để được thăm khám và điều trị kịp thời.
Theo Tạp chí điện tử Saostar